어디가 불편하세요?
이유를 알 수 없는 통증과 다양한 증상들,
GCH 전문 의료진은 환자분께 가장 적합한 치료 솔루션을 제시합니다.
무지외반증이란?
무지외반증은 엄지발가락이 두 번째 발가락 쪽으로 휘어지면서 발바닥 뼈(중족골)와의 관절이 틀어지는 질환입니다.
엄지발가락의 뿌리뼈가 안쪽으로, 발가락 끝은 바깥쪽으로 향하며 심한 경우 발 모양이 변형되고, 통증과 염증이 동반됩니다.
변형이 심해질수록 발의 균형이 깨지고, 무릎·골반·허리 통증까지 이어질 수 있습니다.
무지외반증 주요 원인!
무지외반증이 콕 짚어드립니다.
발끝이 좁고 앞이 뾰족한 신발이나 하이힐을 착용하면서 발가락이 지속적으로 압박되고 변형되어 무지외반증이 발생합니다
걸을 때 발 안쪽으로 체중이 집중되는 잘못된 보행 습관이 반복되면서 변형이 심화되어 무지외반증이 발생합니다
가족 중에 무지외반증이 있는 경우 발의 구조나 인대가 선천적으로 약한 경향이 있어 발생 확률이 높아집니다
나이가 들면서 연골과 인대가 약화되고 발의 정렬이 흐트러지면서 엄지발가락이 변형되어 무지외반증이 발생합니다
평발이나 비정상적인 발 모양으로 인해 체중이 한쪽으로 쏠리면서 발 구조에 변형이 발생하여 무지외반증이 발생합니다
오랜 시간 서서 일하는 직업군에서 발에 지속적인 하중이 가해지면서 발가락 관절이 변형되어 무지외반증이 발생합니다
다음과 같은 증상이 있다면
무지외반증을 의심해보세요
단순히 발가락이 휜 것이 아니라, 발의 구조적 불균형이 누적된 결과입니다.
다음과 같은 증상이 있다면
무지외반증을 의심해보세요
단순히 발가락이 휜 것이 아니라,
발의 구조적 불균형이 누적된 결과입니다.
정확한 진단이 치료의 시작입니다
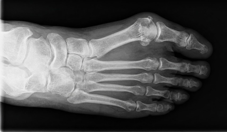
무지외반증은 단순 외형 문제로 보이지만, 발의 뼈 배열·근육 균형·보행 습관 등 복합적인 요인이 원인입니다. 따라서 각 원인을 정확히 파악해야 치료 효과가 높습니다. 강남초이스는 정밀 X-ray + 보행분석 시스템으로 변형의 원인부터 통증의 패턴까지 정확히 진단합니다.
정확한 진단이 필요한 이유
무지외반증은 단순 외형 문제로 보이지만,
발의 뼈 배열·근육 균형·보행 습관 등
복합적인 요인이 원인입니다.
따라서 각 원인을 정확히 파악해야 치료 효과가 높습니다.
강남초이스는 정밀 X-ray + 보행분석 시스템으로
변형의 원인부터 통증의 패턴까지 정확히 진단합니다.
강남초이스병원의
무지외반증 치료방법
- 관절 주변 염증 완화 및 통증 경감
- 발의 혈류 개선으로 조직 회복 촉진
- 부종 감소 및 보행 시 통증 완화
- 염증 완화 및 인대 강화
- 변형 진행 억제 및 통증 완화
- 손상된 조직 재생 촉진
- 발의 정렬을 바로잡아 통증 감소
- 맞춤 깔창·보조기로 발 압력 분산
- 변형 재발 및 진행 방지
- 발 근육과 인대의 균형 회복
- 체형·보행 교정으로 재발 방지
- 하체 관절 부담 완화
강남초이스병원을 찾아오시기 전
가장 많이 물어보시는 질문만 모았습니다.
강남초이스병원
대표원장: 조성태 | 대표번호: 02-539-2250
사업자등록번호: 712-18-02692
주소: 서울시 강남구 테헤란로 337, 4~9층 (역삼동, 화남빌딩)
개인정보보호책임자 : 김재현

연락처 및 진료시간
02-539-2250 (내선 1번)
info@gcchoice.com
서울시 강남구 테헤란로 337, 4~9층 (역삼동, 화남빌딩)
평일 09:30 ~ 19:00
토요일 10:00 ~ 14:00
점심시간 13:00 ~ 14:00 (토요일 없음)
일요일/공휴일 휴진
상호명 강남초이스병원 대표자 조성태 사업자등록번호 712-18-02692
주소 서울 강남구 테헤란로 337, 4~9층 (역삼동, 화남빌딩)
대표전화 02-539-2250 이메일 info@gcchoice.com
개인정보처리책임자 김재현 (privacy@gcchoice.com)